ChatGPT:

S-SWE (Shear Wave Elastography), karaciğer fibrozisinin kantitatif değerlendirmesini mümkün kılar ve klinik tanı güvenini artırmak için bir kalite haritası görüntüler.

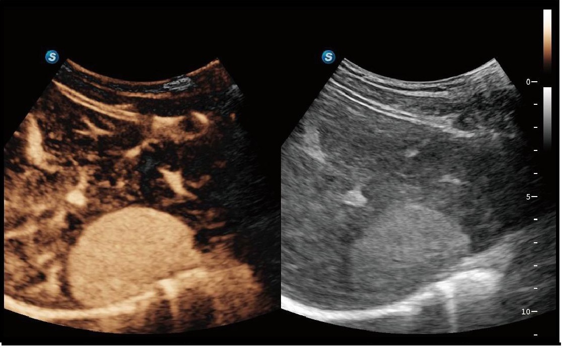
CEUS HFR

CEUS HFR

Yüksek Kare Hızlı CEUS (High Frame Rate CEUS), lezyonların perfüzyon sürecini ayrıntılı bir şekilde dinamik olarak görüntüler. MFI, MFI Time ve MFI Mix kombinasyonu, doktorların lezyon perfüzyonunu farklı açılardan görmesine olanak tanıyarak tanının daha kolay ve daha hassas bir şekilde konulmasını sağlar.

İNCELE
SONO FUSION

SONO FUSION

Prob içerisine entegre edilmiş manyetik sensör sayesinde, SonoFusion harici bir manyetik sensör ihtiyacını ortadan kaldırır ve ultrason verilerini BT/MR verileriyle birleştirerek görüntü eşleştirme yoluyla eşzamanlı gösterim sağlar. Bu entegrasyon, klinisyenlerin hastalıkları kapsamlı bir şekilde analiz etmesini kolaylaştırır.

İNCELE
SWE

SWE

S-SWE (Shear Wave Elastography), karaciğer fibrozisinin kantitatif değerlendirmesini mümkün kılar ve klinik tanı güvenini artırmak için bir kalite haritası görüntüler.

İNCELE