S PELVIC

S PELVIC

S-Pelvic, klinisyenlerin Pelvik Taban Disfonksiyonunu (PFD) değerlendirme yöntemlerini yeniden keşfetmek için tasarlanmış gelişmiş bir araçtır.

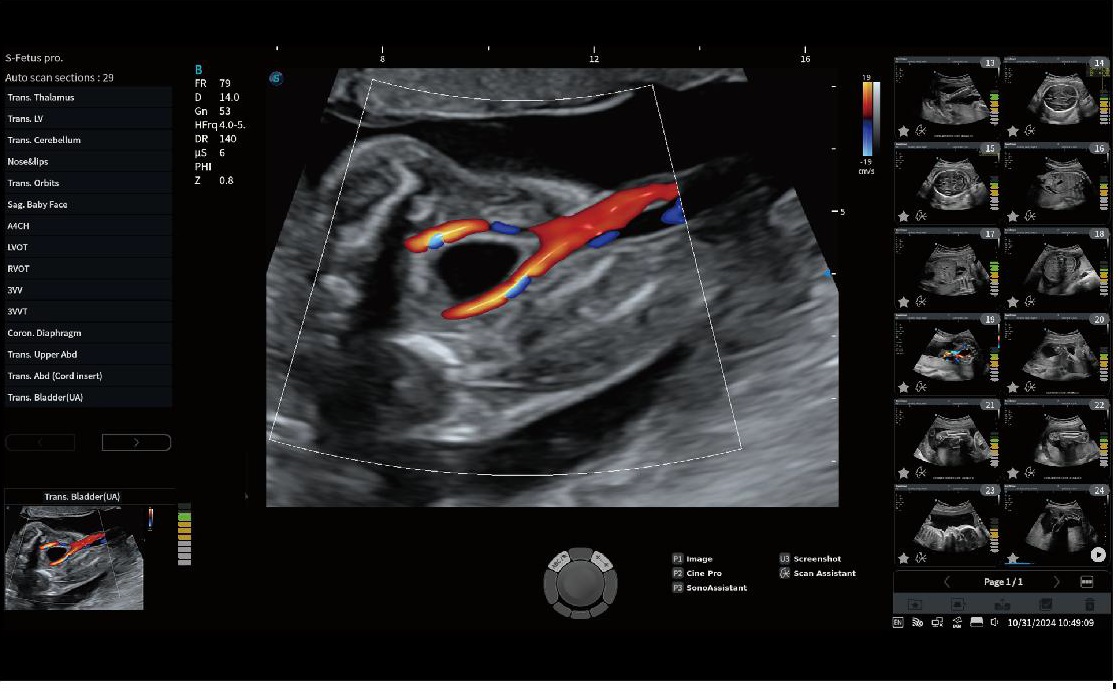
S FETUS

S FETUS

S-Fetüs Obstetrik Ultrason İş Akışını Otomatikleştirir S-Fetus, standart obstetrik ultrason prosedürünü basitleştiren bir fonksiyondur. %80 daha az tuş vuruşu %90 daha az zaman %95'ten fazla doğruluk

HD PORTRE

HD PORTRE

Derin öğrenme teknolojisine dayalı ,büyük veri yüz özelliklerinin uygulanması ile HD Portre , Cilt dokusu ve saç işleme yeteneklerini geliştirerek , fetal cilt görünümünü ve yüz özelliklerini ön plana çıkarır.

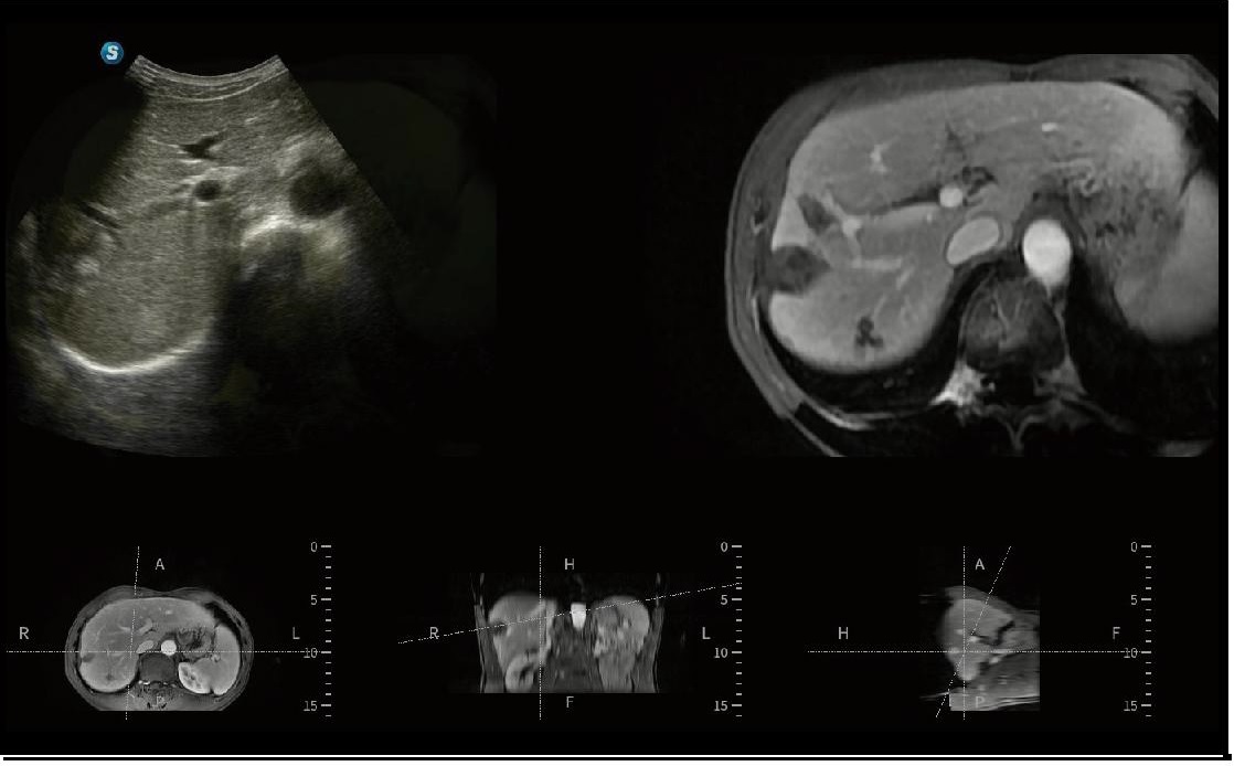
SONO FUSION

SONO FUSION

Prob içerisine entegre edilmiş manyetik sensör sayesinde, SonoFusion harici bir manyetik sensör ihtiyacını ortadan kaldırır ve ultrason verilerini BT/MR verileriyle birleştirerek görüntü eşleştirme yoluyla eşzamanlı gösterim sağlar. Bu entegrasyon, klinisyenlerin hastalıkları kapsamlı bir şekilde analiz etmesini kolaylaştırır.

STIC

STIC

Zamansal ve mekânsal boyutlar boyunca frame ratelerin ortalamasını alarak, STIC farklı düzlemlerde görüntüler oluşturur; böylece hızla hareket eden fetal kalp yapılarını farklı açılardan kapsamlı bir şekilde inceleme ve değerlendirme olanağı sağlar.

SWE

SWE

S-SWE (Shear Wave Elastography), karaciğer fibrozisinin kantitatif değerlendirmesini mümkün kılar ve klinik tanı güvenini artırmak için bir kalite haritası görüntüler.

Türkiye Genel Temsilciliği

Türkiye Genel Temsilciliği SonoScape Medical Corp., ultrason tıbbi görüntüleme, endoskopik tanı ve tedavi, minimal invaziv cerrahi (MIS) ve intravasküler müdahale çözümlerinde uzmanlaşmış, tıbbi teknoloji alanında önde gelen bir yenilikçidir. 170'ten fazla ülkede profesyonel tıbbi çözümler ve destek sunan SonoScape, sürekli inovasyon tutkusuyla hareket ederek hayatın potansiyelini ortaya çıkarır ve sağlık hizmetlerinde sınırsız ilerlemelerin önünü açar.